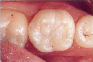
虫 歯
なるべく歯を削らない治療をします。
経過観察していくか、治療の必要があるかを説明し、治療の必要な場合は、虫歯を最小限に削り取った後、歯の色をした樹脂(レジン)や適合の良い金属(インレー・金属冠)で埋め、噛み合わせを回復します。
出来る限り歯の神経を残す治療をしますが、虫歯が神経にまで達してしまっていた場合は、根管治療(歯の根の治療)をした後、噛み合わせを回復します。



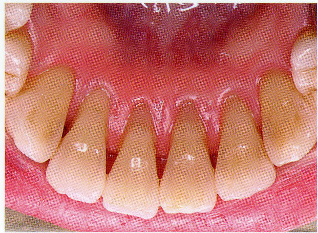
歯周病(歯槽膿漏)
歯の周りに炎症があるために、歯肉の出血、歯の揺れ、噛んだときの痛み、口臭などの症状を伴い、歯を支える骨が吸収され、最後には歯が脱落する病気です。
歯周病の原因は歯の汚れであるプラーク(歯垢)や歯石です。
プラークや歯石を除去する治療を行い、健康な歯肉を回復させ、ブラッシングし易い環境を整えます。
再び歯周病にならないために正しいブラッシングによる予防、定期的なメンテナンスを行います。



ブリッジ/入れ歯(義歯)
歯周病や虫歯で歯を失ってしまった場合、両側に歯が残っている歯をを土台にして適合の良い金属(ブリッジ)により噛み合わせを回復します。
ブリッジで対応できない場合は、歯肉や残った歯の精密な型を採り、最適な義歯を提供します。
残った歯を守ると共に、よく噛めるようにします。
ブリッジ



総義歯



部分床義歯



矯正
歯並びや噛み合わせが悪いと、見た目が気になるだけではなく、歯周病・顎関節症などの原因になることもあります。
機能的で美しい歯並びをつくります。
前歯や部分的な矯正にも対応しています。

審美/ホワイトニング(歯の漂白)
歯を白くしたり、形をととのえることで、美しく機能的な歯並びにします。
ホワイトニング、ラミネートベニア、セラミッククラウン等による治療を行っています。
ホワイトニングは、自然な美しさを得られやすい、マウスピースを使用しご自宅で出来る、ホームブリーチング法を行っています。
ホームブリーチング法




マウスピース
インプラント
義歯によって、強い違和感を覚える、よく噛むことが出来ない、審美的に気になる場合や、両側の歯を削ってブリッジにしたくない場合は、インプラントによる治療を行います。
自分の歯のように自然に、また、よく噛むことができます。1本から多数の歯、噛み合わせ全体まで対応しています。





口腔外科
親知らずの抜歯や打撲による歯の脱臼、粘膜の異常、外傷などの手術、炎症や腫瘍などの診断や治療を行います。
一般の歯科では、敬遠されがちな難症例にも対応しています。

親知らず(埋伏歯)
顎関節治療
顎関節症は、顎の関節(顎関節)や筋肉の痛み、関節の雑音、口が開かない・閉じない、顎関節の運動異常などが主な症状です。
スプリント療法、薬物療法、咬合治療などを行います。

睡眠時無呼吸症候群
SAS専用のマウスピースを患者さんに合わせて作成し治療します。
上顎と下顎を固定したマウスピースが気道の面積を広げます。

定期検診/クリーニング/予防歯科

お口の中の良い状態を末永く維持できるように、定期的(1ヶ月~3ヶ月ごと)に検診します。
検診ではむし歯や歯周病のチェックのほか、顎関節・スプリントのチェック、クリーニング、ブラッシング指導などを行います。
クリーニングでは、普段のブラッシングでは取れない歯石やプラーク(歯垢)、茶渋などの着色を機械的に除去し、歯面をつるつるの状態にしてプラークを付き難くし、普段のブラッシングで汚れを取り易くします。
クリーニングの最後にはフッ素を塗布し、虫歯を予防します。
歯周病や虫歯の予防には、ご自宅でのブラッシングと定期的なメンテナンスが重要です。





